![]() |
Ως κρανιοεγκεφαλικές κακώσεις ορίζονται οι τραυματισμοί του κρανίου και του εγκεφάλου. Ο όρος κρανιοεγκεφαλική κάκωση συμπεριλαμβάνει ένα ευρύ φάσμα βαρύτητας και αιτιολογίας, από την ήπια διάσειση εγκεφάλου έως τα κατάγματα του κρανίου με συνοδά αιματώματα (επισκληρίδια, υποσκληρίδια και ενδοεγκεφαλικά) και βαρύ εγκεφαλικό τραυματισμό. Η ταξινόμηση και αξιολόγηση τους είναι σύνθετη ανάλογα με το μηχανισμό πρόκλησής τους, την μορφολογία τους (ανοιχτές-κλειστές) και την βαρύτητά τους (ήπιες, μέτριας βαρύτητας και βαρείες). Τα συμπτώματά τους παρουσιάζουν επίσης μεγάλη ποικιλία ανάλογα με το είδος και το βαθμό του εγκεφαλικού τραυματισμού, από την βραχεία διαταραχή του επιπέδου συνειδήσεως έως το κώμα και το ίδιο φυσικά ισχύει για την πρόγνωση και θεραπεία τους. Στην ενότητα αυτή θα δοθεί έμφαση περισσότερο στις ηπιότερες, κλειστού τύπου κακώσεις. |
Επίπτωση και Αιτίες
Οι κρανιοεγκεφαλικές κακώσεις στο σύνολό τους είναι μια πολύ κοινή αιτία επίσκεψης και νοσηλείας στο Νοσοκομείο. Ο συνολικός αριθμός των ασθενών που καταλήγουν στο Νοσοκομείο και χρήζουν εισαγωγής και νοσηλείας από κάποιας μορφής κρανιοεγκεφαλική κάκωση είναι περίπου 35.000. Οι πιο συνηθισμένες αιτίες είναι οι πτώσεις, οι ατυχηματικές κακώσεις από αντικείμενα, τα τροχαία ατυχήματα και οι ξυλοδαρμοί.
Συμπτώματα
Τα συμπτώματα των κρανιοεγκεφαλικών κακώσεων ποικίλουν, όπως αναφέρθηκε και παραπάνω, ανάλογα με τον βαθμό βαρύτητάς τους.
Στις απλές κακώσεις κεφαλής χωρίς σημαντικά στοιχεία εγκεφαλικής συμμετοχής (δηλαδή χωρίς απώλεια συνειδήσεως, περιτραυματική αμνησία, διαταραχή του επιπέδου ή του περιεχόμενου της συνειδήσεως και εστιακή νευρολογική παθολογία) τα συμπτώματα είναι συνήθως τοπικό άλγος στο σημείο του τραυματισμού, καριβαρία (αίσθηση βάρους στο κεφάλι) και ήπια ζάλη. Η διάσειση του εγκεφάλου περιλαμβάνει επιπλέον βραχεία απώλεια συνειδήσεως ή/και περιτραυματική αμνησία, ζάλη, ήπιο αίσθημα αποπροσανατολισμού και κεφαλαλγία. Προϋπόθεση για την διάγνωσή της είναι η απουσία ευρημάτων στον απεικονιστικό έλεγχο του εγκεφάλου αλλά και σοβαρότερης νευρολογικής παθολογίας.
Οι βαρύτερες των ανωτέρω κρανιοεγκεφαλικές κακώσεις παρουσιάζουν επιπλέον έντονα συνήθως συμπτώματα (τα οποία μπορούν να παρουσιαστούν και με καθυστέρηση), όπως εστιακά νευρολογικά ελλείμματα (αδυναμία κίνησης ενός ή περισσοτέρων άκρων, βλάβη των οφθαλμοκινητκών νεύρων κ.α.), επιληπτικές κρίσεις, ωτορραγία ή ρινορραγία, σύγχυση ή κώμα.
|
Διάγνωση Απαραίτητες είναι: Η λεπτομερής κλινική εξέταση και το ιστορικό, από τα οποία πρέπει να προκύπτουν (και να αξιολογούνται) ο τρόπος και η βαθμός βίας της κάκωσης, αλλά και τα πρώιμα συμπτώματα Η αξονική τομογραφία του εγκεφάλου (χωρίς σκιαγραφικό). Η πραγματοποίηση (ή όχι) και ο χρόνος αυτής σε σχέση με την κάκωση αποφασίζονται κατόπιν αξιολόγησης του ιστορικού και της κλινικής εξέτασης. Είναι απαραίτητη στους ασθενείς με κακώσεις υψηλής βίας και συμπτώματα ή ευρήματα τα οποία θέτουν την υποψία εγκεφαλικής βλάβης οποιουδήποτε είδους. Ο απεικονιστικός έλεγχος είναι ιδιαίτερα σημαντικός σε ασθενείς με προϋπάρχουσες νευρολογικές παθήσεις όπως η άνοια, σε ασθενείς υπό την επήρεια αλκοολούχων ποτών ή ναρκωτικών φαρμάκων και σε ασθενείς με διαταραχή του μηχανισμού πήξεως του αίματος (και ιατρογενή, όπως η λήψη αντιπηκτικών φαρμάκων). Σε ορισμένες περιπτώσεις: Η μαγνητική τομογραφία του εγκεφάλου.
|
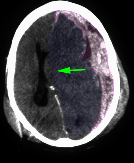
Υποσκληρίδιο αιμάτωμα εγκεφάλου αριστερά. |
Πρόγνωση
Και η πρόγνωση των κρανιοεγκεφαλικών κακώσεων ποικίλει ανάλογα με την βαρύτητά τους.
Οι απλές κακώσεις της κεφαλής έχουν εξαιρετική πρόγνωση και το ίδιο ισχύει για την συντριπτική πλειοψηφία των διασείσεων του εγκεφάλου. Εξαίρεση αποτελούν λίγοι ασθενείς που αναπτύσσουν χρόνια συμπτωματολογία (μήνες), αυτοί που εκτίθενται εκ’ νέου σε τραυματισμό της κεφαλής σύντομα μετά την πρώτη κάκωση και αυτοί που αναπτύσσουν καθυστερημένη επιδείνωση. Η πιθανότητα αυτή αν και μικρή, δεν είναι ανύπαρκτη και αυτοί οι ασθενείς πρέπει να επαναξιολογούνται άμεσα με επανάληψη ή διεύρυνση του απεικονιστικού ελέγχου για να αποκλεισθεί η πιθανότητα καθυστερημένης ανάπτυξης αιματώματος η εγκεφαλικής βλάβης.
Στους ηλικιωμένους ή στους χρήστες αντιπηκτικών φαρμάκων μπορεί επίσης να υπάρξει ανάπτυξη αιματώματος εβδομάδες έως και μήνες μετά την κάκωση της κεφαλής, το Χρόνιο Υποσκληρίδιο Αιμάτωμα.
Στις βαρύτερες κακώσεις η πρόγνωση εξαρτάται από πολλούς παράγοντες μεταξύ των οποίων είναι η νευρολογική κατάσταση του ασθενούς στην προσέλευση, ο βαθμός της εγκεφαλικής βλάβης, η ηλικία, τα προϋπάρχοντα νοσήματα, η ύπαρξη κακώσεων σε άλλα οργανικά συστήματα και η βαρύτητά τους, κ.α.
|
Επισκληρίδιο αιμάτωμα εγκεφάλου αριστερά. Κάταγμα κρανίου με πράσινο βέλος. |
Θεραπεία Στην κάκωση κεφαλής και στην διάσειση του εγκεφάλου δεν απαιτείται στοχευμένη αλλά γενική υποστηρικτική θεραπεία όπως κλινοστατισμός, παυσίπονα (ΟΧΙ ΑΣΠΙΡΙΝΗ), φαρμακευτική αγωγή για την ζάλη ή την ναυτία και κυρίως παρακολούθηση για ένα τουλάχιστον εικοσιτετράωρο. Η θεραπεία και η παρακολούθηση μπορεί, σε ασθενείς με πολύ ήπια συμπτώματα, να γίνει και στο σπίτι με συγκεκριμένες οδηγίες και σύσταση για άμεση επανεξέταση επί επιδεινώσεως (προϋποθέτει συνεχή παρουσία συνοδού στο σπίτι). Σε ορισμένες περιπτώσεις οι ασθενείς χρήζουν νοσηλείας, και αυτό συμβαίνει όταν τα συμπτώματα (κεφαλαλγία, ζάλη, ναυτία, αστάθεια) είναι πιο έντονα, όταν έχει επηρεαστεί το επίπεδο ή το περιεχόμενο της συνειδήσεως, όταν αξιολογείται ότι παρά την αρχική αρνητική απεικόνιση του εγκεφάλου υπάρχει αυξημένος κίνδυνος καθυστερημένου αιματώματος ή εγκεφαλικής βλάβης (κακώσεις υψηλής βίας, ασθενείς υψηλού ρίσκου, ηλικιωμένοι, λαμβάνοντες αντιπηκτικά), όταν είναι δύσκολο να εκτιμηθεί κλινικά η νευρολογική κατάσταση του ασθενούς (χρήση αλκοόλ, ναρκωτικών) ή ακόμη και για κοινωνικούς λόγους (απουσία ατόμων που θα παρακολουθήσουν τον ασθενή στο σπίτι, φόβος). |


