![]() |
Υδροκέφαλος είναι η περίσσεια εγκεφαλονωτιαίου υγρού στο κεντρικό νευρικό σύστημα. Εγκεφαλονωτιαίο υγρό (Ε.Ν.Υ.) είναι το υγρό το οποίο περιβάλει το κεντρικό νευρικό σύστημα και εμπεριέχεται από τις μήνιγγες του εγκεφάλου. Το Ε.Ν.Υ. επίσης κυκλοφορεί στο εσωτερικό του εγκεφάλου, σε κοιλότητές του, οι οποίες ονομάζονται κοιλίες. Οποιαδήποτε αύξηση της παραγωγής, μείωση της απορρόφησης ή παρεμπόδιση της κυκλοφορίας του προς τα σημεία απορρόφησης δημιουργεί υδροκέφαλο. Ο υδροκέφαλος διαχωρίζεται σε αποφρακτικό (όταν αποφράσσεται η κυκλοφορία του Ε.Ν.Υ.) και επικοινωνούντα (όταν υπερπαράγεται ή, συχνότερα, δυσαπορροφάται το Ε.Ν.Υ.). Τα συμπτώματά του είναι, στην περίπτωση του αποφρακτικού υδροκέφαλου, κεφαλαλγία, ναυτία και έμετος, διαταραχή της όρασης, υπνηλία, λήθαργος κ.α., με ταχεία επιδείνωση. Η πρόγνωση είναι πολύ κακή και απαιτείται άμεση χειρουργική θεραπεία. Ο επικοινωνούν υδροκέφαλος έχει συμπτώματα τα οποία είναι συνήθως βραδύτερα αναπτυσσόμενα και συμπεριλαμβάνουν, πέραν των ανωτέρω, διαταραχές της μνήμης, αστάθεια βάδισης και ακράτεια ούρων, ειδικά στην υποκατηγορία του υδροκεφάλου φυσιολογικής πίεσης. Η θεραπεία είναι και εδώ κατά κανόνα χειρουργική. |
Επίπτωση και Αιτίες
Η παραγωγή του Ε.Ν.Υ. γίνεται κατά το μεγαλύτερο μέρος σε αγγειακά πλέγματα στις κοιλίες του εγκεφάλου, τα χοριοειδή πλέγματα, και η απορρόφησή του στα πακχιόνεια σωμάτια στην επιφάνεια του εγκεφάλου από όπου αποχετεύεται στις μεγάλες φλέβες του εγκεφάλου. Ο συνολικός όγκος του Ε.Ν.Υ. στο κεντρικό νευρικό σύστημα είναι περίπου 150 ml και καθημερινά παράγονται περίπου 450-750 ml, δηλαδή ανακυκλώνεται 3-5 φορές ανά 24 ώρες. Οποιαδήποτε αύξηση της παραγωγής, μείωση της απορρόφησης ή παρεμπόδιση της κυκλοφορίας του προς τα σημεία απορρόφησης δημιουργεί υδροκέφαλο.
Υπάρχουν 2 βασικοί τύποι υδροκέφαλου: Ο υδροκέφαλος αποφρακτικού τύπου και ο υδροκέφαλος επικοινωνούντος τύπου. Ο υδροκέφαλος αποφρακτικού τύπου δημιουργείται όταν αποφραχθεί η κυκλοφορία του Ε.Ν.Υ. προς τα σημεία παροχέτευσής του, συνήθως από όγκους εγκεφάλου ή άλλες χωροκατακτητικές εξεργασίες. Αυτό προκαλεί διάταση του κοιλιακού συστήματος, αύξηση της ενδοκράνιας πίεσης (από την συσσώρευση εγκεφαλονωτιαίου υγρού στην ανένδοτη κρανιακή κοιλότητα) και πίεση στο εγκεφαλικό παρέγχυμα. Συγγενείς δυσπλασίες του κεντρικού νευρικού συστήματος, όπως η στένωση του υδραγωγού του Sylvius, οι δυσπλασίες Chiari I, II και Dandy Walker που προκαλούν επίσης αποφρακτικό υδροκέφαλο και πλήττουν συνήθως παιδιά και δεν θα αναπτυχθούν περαιτέρω σε αυτή την ενότητα. Ο υδροκέφαλος επικοινωνούντος τύπου δημιουργείται όταν υπερπαράγεται Ε.Ν.Υ.(όπως στην περίπτωση των σπάνιων όγκων του χοριοειδούς πλέγματος) ή, συχνότερα, όταν αυτό δυσαπορροφάται. Αυτό συμβαίνει μετά από λοιμώξεις ή αιμορραγίες στο κεντρικό νευρικό σύστημα και σε ορισμένους ηλικιωμένους χωρίς αποσαφηνισμένη αιτία (ιδιοπαθής). Υπολογίζεται ότι 1 % του πληθυσμού θα παρουσιάσει κάποια στιγμή υδροκέφαλο κάποιου τύπου.
Συμπτώματα
Τα συμπτώματα του αποφρακτικού υδροκεφάλου είναι έντονη και επίμονος κεφαλαλγία με συνοδό ναυτία ή/και εμέτους, μείωση της οπτικής οξύτητας, πάρεση οφθαλμοκινητικών συζυγιών με διπλωπία, υπνηλία και λήθαργο. Η επιδείνωσή των συμπτωμάτων γίνεται γρήγορα και μπορεί να οδηγήσει σε κώμα και θάνατο. Ο υδροκέφαλος επικοινωνούντος τύπου έχει τα ίδια ουσιαστικά συμπτώματα με κάπως βραδύτερη εξέλιξη. Ο υδροκέφαλος φυσιολογικής πίεσης, μια πιο ήπια μορφή επικοινωνούντος υδροκεφάλου χαρακτηρίζεται από την τριάδα των παρακάτω συμπτωμάτων, σε διαφόρους βαθμούς έκαστο: διαταραχή βάδισης (αστάθεια), διαταραχή μνήμης και ακράτεια ούρων. Συγχέεται συχνά με την γεροντική ή προγεροντική άνοια (N.Alzheimer) και έχει αργή εξέλιξη.
|
Διάγνωση Απαραίτητες είναι: Η λεπτομερής λήψη ιστορικού και η κλινική εξέταση, Η μαγνητική τομογραφία εγκεφάλου με σκιαγραφικό ή (σε υπερεπείγουσες καταστάσεις) η αξονική τομογραφία εγκεφάλου (αναδεικνύουν τη διάταση του κοιλιακού συστήματος) Όταν αυτό είναι χρονικά εφικτό, ο οφθαλμολογικός έλεγχος με βυθοσκόπηση (για διαπίστωση οιδήματος οπτικής θηλής) και μέτρηση της οπτικής οξύτητας και των οπτικών πεδίων. Σε ορισμένες περιπτώσεις: Η διαγνωστική παροχετευτική οσφυονωτιαία παρακέντηση με μέτρηση της πίεσης του Ε.Ν.Υ. |
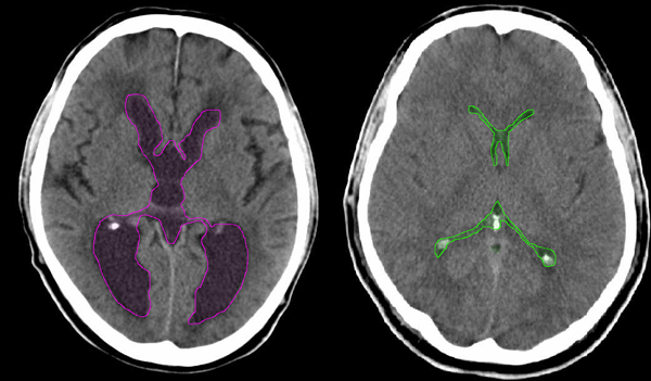
Αξονική τομογραφία ασθενούς με υδροκέφαλο αριστερά, με διάταση του κοιλιακού συστήματος (κόκκινο περίγραμμα). Σύγκριση με φυσιολογικό κοιλιακό σύστημα δεξιά (πράσινο περίγραμμα). |
Πρόγνωση
Η πρόγνωση του υδροκέφαλου χωρίς θεραπεία δεν είναι καλή, ιδιαίτερα στην περίπτωση του αποφρακτικού τύπου, ο οποίος χωρίς κάποιου είδους άμεσης δημιουργίας παράκαμψης του Ε.Ν.Υ. ή αφαίρεσης του εμποδίου της κυκλοφορίας του, οδηγεί σε μόνιμες νευρολογικές βλάβες, τύφλωση, και τελικά σε κώμα και θάνατο.
Ο υδροκέφαλος επικοινωνούντος τύπου έχει επίσης όχι καλή πρόγνωση χωρίς θεραπεία, ακόμα και στην φυσιολογικής πίεσης μορφή του, με σταδιακή επιδείνωση των νευρολογικών βλαβών που προκαλεί. Και στον επικοινωνούντα υδροκέφαλο, ειδικά στις βαρύτερες μορφές του, η επιδείνωση μπορεί να είναι ταχεία και η έκβαση κάκιστη.
|
Σύστημα κοιλιοπεριτοναϊκής παροχέτευσης με βαλβίδα. Κοιλιακός καθετήρας (εισέρχεται στο κοιλιακό σύστημα του εγκεφάλου) με πράσινο βέλος, ρεζερβουάρ Ε.Ν.Υ. με κυανό βέλος, βαλβίδα ρύθμισης της πίεσης με κίτρινο βέλος, περιτοναϊκός καθετήρας με κόκκινο βέλος. |
Θεραπεία Ο αποφρακτικός υδροκέφαλος απαιτεί άμεση θεραπεία, ή με εξωτερική παροχέτευση, ή δημιουργία παράκαμψης του Ε.Ν.Υ. ή ανάταξη της απόφραξης αν αυτό είναι δυνατό. Η εξωτερική παροχέτευση του Ε.Ν.Υ. τοποθετείται σε υπερεπείγουσες καταστάσεις και είναι προσωρινή. Γίνεται με την τοποθέτηση ενός λεπτού σωλήνα από σιλικόνη στο κοιλιακό σύστημα του εγκεφάλου με κρανιονάτρηση (διάνοιξη μικρής οπής στο κρανίο) και σκοπό έχει να μειώσει την ενδοκράνια πίεση παροχετεύοντας Ε.Ν.Υ. Η εξωτερική παροχέτευση μπορεί να τοποθετηθεί και στην οσφύη με απλή παρακέντηση μόνο εάν ο υδροκέφαλος είναι επικοινωνούντος τύπου. Η μόνιμη παράκαμψη της φυσιολογικής παροχέτευσης του Ε.Ν.Υ. πραγματοποιείται είτε με τοποθέτηση συστήματος κοιλιοπεριτοναϊκής παροχέτευσης με βαλβίδα (το οποίο μεταφέρει Ε.Ν.Υ. από το κοιλιακό σύστημα του εγκεφάλου στην περιτοναϊκή κοιλότητα), είτε με ενδοσκοπική τρίτη κοιλιοστομία εγκεφάλου (η οποία είναι η διάνοιξη μιας οπής στο κοιλιακό σύστημα του εγκεφάλου με σκοπό την τεχνητή παροχέτευση Ε.Ν.Υ. προς τις βασικές δεξαμενές του εγκεφάλου), είτε με σύστημα οσφυοπεριτοναϊκής παροχέτευσης Ε.Ν.Υ. (το οποίο μεταφέρει Ε.Ν.Υ. από τον οσφυϊκό μηνιγγικό σάκο στην περιτοναϊκή κοιλότητα). Η τελευταία μέθοδος είναι κατάλληλη μόνο για ασθενείς με υδροκέφαλο επικοινωνούντος τύπου. Στον αποφρακτικό υδροκέφαλο πρέπει πάντα να εξαιρείται, όταν είναι εφικτό, η αιτία της απόφραξης, και αυτό καθιστά την λύση των παρακάμψεων στην παροχέτευση του Ε.Ν.Υ. όχι απαραίτητη, δίνοντας οριστική λύση στο πρόβλημα. Δες και ενότητες: Τοποθέτηση Συστήματος Παροχέτευσης ΕΝΥ (Βαλβίδα Εγκεφάλου) και Ενδοσκοπική Τρίτη Κοιλιοστομία. |


