|
Οι όγκοι εγκεφάλου διαχωρίζονται χονδρικά σε 2 μεγάλες κατηγορίες: Τους πρωτοπαθείς, οι οποίοι προέρχονται από ιστούς του κεντρικού νευρικού συστήματος (νευρώνες, μήνιγγες, νευρογλοιακά κύτταρα κα) και τους δευτεροπαθείς οι οποίοι προέρχονται από άλλα όργανα και ονομάζονται επίσης μεταστατικοί. Οι πρωτοπαθείς όγκοι του εγκεφάλου δεν είναι ιδιαίτερα συχνοί (30 ασθενείς ανά 100,000 πληθυσμού) και είναι πιο συχνά μηνιγγιώματα και γλοιώματα. Οι μεταστατικοί είναι πολύ συχνότεροι, έως και 30% των ασθενών με κακοήθη νεοπλάσματα θα διαγνωσθούν με μία ή περισσότερες εγκεφαλικές μεταστάσεις. |
|
Συμπτώματα Τα συχνότερα συμπτώματα των όγκων εγκεφάλου είναι η κεφαλαλγία, οι επιληπτικές κρίσεις, τα εστιακά νευρολογικά ελλείμματα (αδυναμία ή υπαισθησία σε ένα ή περισσότερα άκρα, διαταραχή του λόγου ή άλλων ανώτερων νοητικών λειτουργιών, διαταραχή της όρασης κα) και αυξημένη ενδοκράνιος πίεση η οποία εκδηλώνεται με συνδυασμό κεφαλαγίας, ναυτίας, εμέτων και διαταραχής της όρασης). Η βαρύτητα και η ταχύτητα ανάπτυξης των συμπτωμάτων ποικίλει ανάλογα με την θέση, το μέγεθος και το είδος του όγκου. Όχι σπάνια οι όγκοι εγκεφάλου είναι τυχαία ευρήματα σε απεικονιστικές εξετάσεις που συμβαίνουν για άλλους λόγους, όπως πχ ένας τραυματισμός της κεφαλής, πριν προκαλέσουν συμπτώματα. |
|
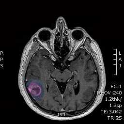
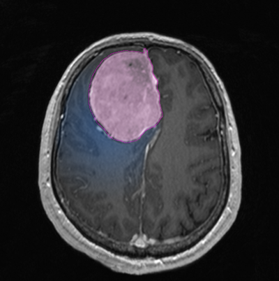
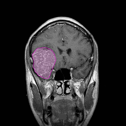
Διάγνωση Απαραίτητα είναι: Η λεπτομερής λήψη ιστορικού και η κλινική εξέταση, Η μαγνητική τομογραφία του εγκεφάλου με σκιαγραφικό, Σε ορισμένες περιπτώσεις: Η μαγνητική αγγειογραφία ή/και φλεβογραφία του εγκεφάλου, Η μαγνητική φασματοσκοπία, Η μαγνητική τομογραφία του εγκεφάλου με σκιαγραφικό για νευροπλοήγηση, Σε περίπτωση εξεργασίας/εξεργασιών με υποψία μεταστατικής προέλευσης επιπλέον ογκολογικός έλεγχος (απεικονίσεις άλλων οργάνων, καρκινικοί δείκτες κα) |
![]() |
![]() |
Θεραπεία Η θεραπεία των πρωτοπαθών όγκων εγκεφάλου είναι κατά κανόνα χειρουργική, και αυτό γιατί αποτελεί τον πλέον άμεσο και αποτελεσματικό τρόπο να αποσυμπιεστεί ο εγκεφαλικός ιστός ή τα κρανιακά νεύρα τα οποία πιέζονται. Επίσης κατά την διάρκεια της επέμβασης λαμβάνονται βιοψίες από την εξεργασία προκειμένου να ταυτοποιηθεί ιστολογικά και να αντληθούν πληροφορίες για την πρόγνωση και την ανάγκη περαιτέρω θεραπείας (ακτινοθεραπεία ή/και χημειοθεραπεία). Η έκταση της επέμβασης (βιοψία έως ολική εξαίρεση) ορίζεται από πολλούς παράγοντες, όπως το μέγεθος, η θέση και η σχέση της εξεργασίας με ζωτικά ή ευγενή κέντρα του εγκεφάλου. Οι μεταστατικές βλάβες του εγκεφάλου είναι όχι σπάνια πολλαπλές. Σε αυτή την περίπτωση αξιολογείται η ανάγκη βιοψίας (στις περιπτώσεις που η προέλευση της βλάβης δεν είναι τελείως προφανής). Συχνά αντιμετωπίζονται με συνδυασμό ακτινοχειρουργικής/ακτινοθεραπείας και χημειοθεραπείας. Χειρουργική αντιμετώπιση μπορεί να προταθεί σε περιπτώσεις μονήρους μετάστασης ή, στην περίπτωση πολλαπλών μεταστάσεων, μεγάλης μετάστασης που προκαλεί συμπτώματα. |

