![]() |
Οι μεταστατικοί όγκοι είναι οι πιο κοινές χωροκατακτητικές εξεργασίες του εγκεφάλου. Τα συμπτώματα των εγκεφαλικών μεταστάσεων δεν διαφέρουν από αυτά των υπολοίπων όγκων του εγκεφάλου, και εξαρτώνται από τη θέση, το μέγεθος και την φλεγμονή (οίδημα) που προκαλούν στον εγκέφαλο. Στις μονήρεις συμπτωματικές μεταστάσεις η θεραπεία είναι χειρουργική, συχνά σε συνδυασμό με ακτινοθεραπεία και σπανιότερα χημειοθεραπεία. Στις πολλαπλές μεταστάσεις πιο κατάλληλη είναι η ακτινοχειρουργική ή η ακτινοθεραπεία, ανάλογα με το μέγεθος, τον αριθμό και την θέση των μεταστάσεων. |
Επίπτωση και Αιτίες
Οι μεταστατικοί όγκοι αποτελούν το 50% των ενδοκρανιακών χωροκατακτητικών εξεργασιών που αντιμετωπίζονται στην κλινική πράξη. Υπολογίζεται ότι 15-30% των ασθενών με κακοήθη νόσο θα αναπτύξουν εγκεφαλικές μεταστάσεις κατά τη διάρκεια της νόσου τους, όχι σπάνια ως πρώτη εκδήλωση της νόσου τους, και το 70% εξ' αυτών θα έχει πολλαπλές μεταστατικές εγκεφαλικές εστίες κατά το χρόνο της διάγνωσης. Οι πιο συχνοί πρωτοπαθείς όγκοι είναι οι όγκοι του πνεύμονα, του μαστού και των νεφρών. Οι μεταστάσεις φθάνουν κατά κανόνα στον εγκέφαλο δια των αιμοφόρων αγγείων. Σε ένα ποσοστό 10% των ασθενών, η πρωτοπαθής εστία παραμένει αδιευκρίνιστη. Θα πρέπει εδώ να σημειωθεί ότι στην περίπτωση ανεύρεσης μονήρων χωροκατακτητικών εξεργασιών του εγκεφάλου σε ασθενείς με κακοήθη νόσο, 11% των εξεργασιών αυτών δεν είναι μεταστάσεις αλλά είναι βλάβες άλλης προέλευσης και αιτιολογίας.
Συμπτώματα
Τα συμπτώματα των εγκεφαλικών μεταστάσεων δεν διαφέρουν από αυτά των υπολοίπων όγκων του εγκεφάλου και περιλαμβάνουν την κεφαλαλγία, την ναυτία ή τον έμετο, ποικίλα νευρολογικά ελλείμματα όπως η αδυναμία ενός ή περισσοτέρων άκρων ή η διαταραχή του λόγου και οι επιληπτικές κρίσεις. Η μορφή και η ένταση των συμπτωμάτων εξαρτώνται από την θέση, το μέγεθος, τον αριθμό και την περιβάλλουσα φλεγμονή (οίδημα) των μεταστάσεων.
|
Διάγνωση Απαραίτητες είναι: Η λεπτομερής λήψη ιστορικού και η κλινική εξέταση, Η μαγνητική τομογραφία του εγκεφάλου με χορήγηση σκιαγραφικού (ή η αξονική τομογραφία του εγκεφάλου με σκιαγραφικό σε περιπτώσεις που ο ασθενής δεν μπορεί να πραγματοποιήσει την μαγνητική τομογραφία), Η ογκολογική διερεύνηση με ευρύ κλινικό και απεικονιστικό έλεγχο του υπολοίπου σώματος (θώρακος, κοιλίας, μαστών , θυρεοειδούς, δέρματος, γαστρεντερικού, γεννητικών οργάνων) στις περιπτώσεις αγνώστου πρωτοπαθούς εστίας, Ο αιματολογικός έλεγχος καρκινικών δεικτών. |
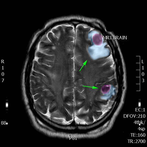
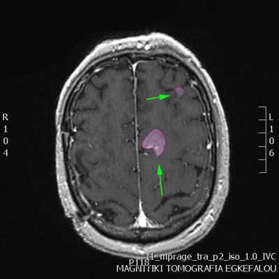
Πολλαπλές μεταστάσεις σε διάφορα σημεία του εγκεφάλου. |
|
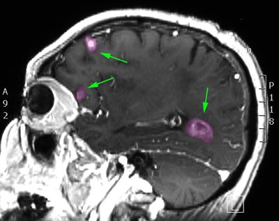
Πολλαπλές μεταστάσεις σε διάφορα σημεία του εγκεφάλου. |
Πρόγνωση Η πρόγνωση των εγκεφαλικών μεταστάσεων εξαρτάται από πολλούς παράγοντες όπως ο αριθμός τους, η ηλικία του ασθενούς και η κλινική του κατάσταση, η έκταση της πρωτοπαθούς νόσου κ.α. Γενικότερα, η πρόγνωση έχει βελτιωθεί σημαντικά τα τελευταία χρόνια λόγω επιθετικότερης και πιο αποτελεσματικής θεραπείας και ο αριθμός των μακροχρόνια επιβιωσάντων ασθενών έχει αυξηθεί. Θεραπεία Η θεραπεία στις μονήρεις εγκεφαλικές μεταστάσεις σε ασθενείς χωρίς ανεξέλεγκτη νόσο είναι κατά κανόνα χειρουργική, ακολουθούμενη στις περισσότερες περιπτώσεις από ακτινοθεραπεία, χημειοθεραπεία ή συνδυασμό των δύο. Στις πολλαπλές εγκεφαλικές μεταστάσεις πλήρης χειρουργική εξαίρεση σπάνια είναι εφικτή, υπάρχει σαφής όμως ένδειξη στερεοτακτικής βιοψίας σε ασθενείς με άγνωστη πρωτοπαθή εστία. Χειρουργική εξαίρεση πρέπει επίσης πάντα να αξιολογείται σε αυτούς τους ασθενείς όταν μία εκ των μεταστάσεων απειλεί άμεσα την ζωή τους ή προκαλεί συμπτώματα. Ακτινοχειρουργική με γ-knife, ακτινοθεραπεία, χημειοθεραπεία και συνδυασμοί τους είναι οι συνηθέστερα ενδεδειγμένες θεραπείες σε αυτή την κατηγορία ασθενών. Δες και ενότητες: Εξαίρεση Όγκου Εγκεφάλου-Κρανιοτομία και Ακτινοχειρουργική γ-knife.
|


