![]() |
Η κρανιοτομία είναι η διατομή ενός μέρους του οστού του κρανίου προκειμένου να προσπελαστεί η κρανιακή κοιλότητα και τα περιεχόμενά της (εγκέφαλος, μήνιγγες, εγκεφαλικά αγγεία). Ο όρος προϋποθέτει επανατοποθέτηση του τεμαχίου του οστού (οστικός κρημνός) μετά το πέρας της επέμβασης, σε αντίθεση με την κρανιεκτομία στην οποία το οστό δεν επανατοποθετείται. Η κρανιοτομία είναι η προσπέλαση που χρησιμοποιείται για την εξαίρεση της πλειοψηφίας των όγκων του εγκεφάλου. Το μέγεθός της και η θέση της εξαρτώνται από την θέση της εξεργασίας που πρόκειται να αφαιρεθεί και ορισμένες φορές μπορεί να συμπεριλαμβάνει και τεμάχια του προσωπικού κρανίου. Η εξαίρεση των όγκων εγκεφάλου είναι αδύνατον να αναπτυχθεί στην ολότητά της στην παρούσα ενότητα, θα περιγραφούν όμως κάποιες γενικές αρχές της οι οποίες αφορούν σχεδόν το σύνολο αυτής της εκτενούς και ποικιλόμορφης ομάδας εξεργασιών. |
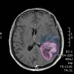
Ενδείξεις
Κατάλληλοι για χειρουργική αξιολόγηση είναι όλοι ανεξαιρέτως οι ασθενείς με αποδεδειγμένη απεικονιστικά χωροκατακτητική εξεργασία του εγκεφάλου. Αυτό συμπεριλαμβάνει όχι μόνο ασθενείς με συμπτώματα αλλά και ασθενείς στους οποίος η εξεργασία είναι τυχαίο εύρημα σε απεικονιστική εξέταση για άλλους λόγους (όπως πχ μια κρανιοεγκεφαλική κάκωση). Θα πρέπει εδώ να σημειωθεί ότι όλες οι απεικονιζόμενες βλάβες του εγκεφάλου δεν είναι σε καμία περίπτωση όγκοι, κάποιες είναι λοιμώδους, νευροεκφυλιστικής ή άλλης προέλευσης. Η εξεργασία αξιολογείται όσον αφορά τα απεικονιστικά της χαρακτηριστικά (θέση, μέγεθος, στην περίπτωση των πολλαπλών εξεργασιών αριθμός, σχέση με ζωτικά ή ευγενή κέντρα του εγκεφάλου, αγγεία, κρανιακά νεύρα κα)και γίνεται μια πρώτη εκτίμηση για την προέλευση και την άμεση επικινδυνότητά της. Η εκτίμηση αυτή γίνεται κλινικά (ιστορικό, κλινική εξέταση) και με μελέτη της απεικόνισης η οποία πρέπει να είναι μαγνητική τομογραφία με σκιαγραφικό-εκτός των περιπτώσεων που αυτή αντενδείκνυται.
Χονδρικά οι όγκοι του εγκεφάλου διακρίνονται σε πρωτοπαθείς και δευτεροπαθείς. Οι πρώτοι προέρχονται από ιστούς του κεντρικού νευρικού συστήματος (νευρώνες, μήνιγγες, νευρογλοιακά κύτταρα κα) και οι δευτεροπαθείς προέρχονται από άλλα όργανα και ονομάζονται επίσης μεταστατικοί. Η απεικόνιση του εγκεφάλου ενδέχεται να μην επαρκεί για αυτόν τον διαχωρισμό-όπως σε ασθενείς με μονήρεις μεταστατικές βλάβες ή με αδιάγνωστη πρωτοπαθή εστία- και ενδέχεται να χρειάζεται να συμπληρωθεί με επιπλέον απεικονίσεις των συχνότερων εστιών πρωτοπαθών νεοπλασμάτων (πνεύμονας, μαστοί, θυρεοειδής κα) καρκινικούς δείκτες ή άλλες εξετάσεις.
Σκοπός της συνολικής αξιολόγησης είναι να διαπιστωθεί η ανάγκη χειρουργικής επέμβασης, τα χρονικά πλαίσια στα οποία πρέπει να πραγματοποιηθεί, η έκταση της και τα δυνητικά οφέλη της σε σχέση με τους κινδύνους της. Η τελευταία παράμετρος είναι εξαιρετικά σημαντική και εξατομικευμένη καθ' όσον ορισμένες, κυρίως πρωτοπαθείς, βλάβες διηθούν περιοχές του εγκεφάλου που ελέγχουν την κίνηση, τον λόγο ή άλλες ανώτερες νοητικές λειτουργίες και η εξαίρεσή τους μπορεί να σημαίνει νευρολογικό λειτουργικό έλλειμμα.
|
Περιγραφή Για την πραγματοποίηση της επέμβασης απαιτείται εκτενής προεγχειρητικός έλεγχος (καρδιολογικός, πνευμονολογικός και άλλος) και σχεδιασμός. Ως γενικό στόχο έχουμε την εξαίρεση του μεγαλύτερου δυνατού μέρους της εξεργασίας χωρίς να δημιουργηθούν μόνιμα νέα νευρολογικά ελλείμματα ή να επέλθει μόνιμη επιδείνωση παλαιοτέρων. Η ισορροπία ανάμεσα στον βαθμό εξαίρεσης και την πιθανή μετεγχειρητική νευρολογική έκβαση είναι μια ιδιαίτερα εξατομικευμένη απόφαση ασθενούς και ιατρού, ειδικά στους όγκους του παρεγχύματος του εγκεφάλου όπως τα γλοιώματα και αφορά όχι μόνο την περιεγχειρητική περίοδο αλλά και την εξέλιξη της νόσου στον χρόνοΗ επέμβαση δεν απαιτεί ξύρισμα του τριχωτού της κεφαλής πέραν 1 εκ. εκατέρωθεν της χειρουργικής τομής δεν είναι επώδυνη και ο χρόνος νοσηλείας είναι μερικές ημέρες (4-5), εκ των οποίων η πρώτη κατα κανόνα σε μονάδα εντατηκής θεραπείας ή αυξημένης φροντίδας, κυρίως για λόγους παρακολούθησης. Η κινητοποίηση του ασθενούς γίνεται το συντομότερο δυνατό και η ανεξαρτησία όσον αφορά βασικές καθημερινές δραστηριότητες (αυτόνομη σίτιση, προσωπική υγιεινή), επιτυγχάνεται στους προεγχειρητικά ικανούς πριν το εξιτήριο. Η επιστροφή σε πιο εκτεταμένη δραστηριότητα (εργασία, οδήγηση όταν επιτρέπεται) απαιτεί συνήθως μερικές εβδομάδες. |
|
Προϋπόθεση για τα ανωτέρω αποτελεί μια προεγχειρητικά καλή νευρολογική λειτουργία και μια ανεπίπλεκτη μετεγχειρητική πορεία. Ειδικοί περιορισμοί μπορεί επίσης να ισχύουν στους ασθενείς με επιληψία.
![]() |
Αντενδείξεις και επιπλοκές Οι αντενδείξεις της κρανιοτομίας σχετίζονται κυρίως με την γενική υγεία του ασθενούς και τα οφέλη της κρανιοτομίας θα πρέπει να ζυγίζονται έναντι του αυξημένου περιεγχειρητικού κινδύνου που συνεπάγεται μια σοβαρή καρδιοαναπνευστική ή άλλη εκτεταμένη νόσος ή μια ενεργός λοίμωξη. Η πολύ προχωρημένη ηλικία και το (μη δυνητικά αναστρέψιμο ή βελτιώσιμο από την επέμβαση) νευρολογικό έλλειμμα αποτελούν επίσης αντενδείξεις με σχετική μεν, ουσιαστική δε, βαρύτητα. |


