![]() |
Η στερεοτακτική βιοψία εγκεφάλου είναι η ελάχιστα επεμβατική λήψη τεμαχίων χωροκατακτητικής εξεργασίας του εγκεφάλου με τη βοήθεια ειδικής βελόνης και στερεοτακτικού πλαισίου ή συστήματος νευροπλοήγησης. Η επέμβαση γίνεται με κρανιοανάτρηση, δηλαδή διάνοιξη μιας μικρής οπής στο κρανίο, και έχει πολύ υψηλά ποσοστά επιτυχίας και ασφάλειας. Σκοπός της είναι να διαπιστωθεί ιστολογικά το είδος της εξεργασίας, προκειμένου να σχεδιαστεί σωστά και στοχευμένα η περαιτέρω θεραπεία. |
Ενδείξεις
Η στερεοτακτική βιοψία του εγκεφάλου ενδείκνυται σε ασθενείς με μια (ή περισσότερες) χωροκατακτητικές εξεργασίες του εγκεφάλου, των οποίων η ακριβής φύση δεν προσδιορίζεται με μεγάλο βαθμό βεβαιότητας από τα απεικονιστικά ευρήματα και τα άλλα στοιχεία που έχουν προκύψει από τον κλινικό και εργαστηριακό έλεγχο. Πλέον κατάλληλες για στερεοτακτική βιοψία είναι οι μικρές, εν τω βάθει, εξεργασίες στις οποίες εικάζεται ιστολογία της οποίας το είδος επιτρέπει φαρμακευτική ή άλλη μη επεμβατική θεραπεία, προκειμένου να αποφευχθεί μια χειρουργική επέμβαση η οποία δεν θα βελτιώσει την πρόγνωση της νόσου ή την ποιότητα ζωής του ασθενούς. Τυπικά παραδείγματα είναι η ογκόμορφη σκλήρυνση κατά πλάκας, το πρωτοπαθές λέμφωμα του εγκεφάλου και το εγκεφαλικό απόστημα (οπότε η βιοψία συνοδεύεται από λήψη καλλιεργειών). Η στερεοτακτική βιοψία μπορεί επίσης να πραγματοποιηθεί σε ασθενείς με όγκο του εγκεφάλου προκειμένου να διαπιστωθεί το είδος και ο βαθμός κακοήθειας του όγκου, όπως στους ασθενείς με γλοιώματα ή μεταστατικούς όγκους με άγνωστη πρωτοπαθή εστία.
|
Περιγραφή Η επέμβαση μπορεί να γίνει υπό τοπική ή, συχνότερα, γενική αναισθησία. Υπάρχουν 2 τρόποι να πραγματοποιηθεί η εντόπιση της εξεργασίας: ο πρώτος είναι με τη βοήθεια στεροτακτικού πλαισίου από τιτάνιο το οποίο στερεώνεται στο κρανίο του ασθενούς με ειδικές βίδες και ο δεύτερος με την βοήθεια νευροπλοήγησης, χωρίς εξωτερικά εντοπιστικά βοηθήματα. Και στις 2 περιπτώσεις πραγματοποιείται μια μαγνητική τομογραφία εγκεφάλου προεγχειρητικά για τον σχεδιασμό της επέμβασης (σημείο εισόδου και τροχιά της βελόνης). Η λήψη της βιοψίας γίνεται μέσω κρανιοανάτρησης (διάνοιξη μικρής οπής στο κρανίο) και με τη βοήθεια ειδικής βελόνης με κοπτική θαλάμη η οποία εισέρχεται στον εγκέφαλο προκειμένου να ληφθούν τεμάχια της εξεργασίας. Από την ίδια βελόνη μπορεί να αφαιρεθεί υγρό για κυτταρολογική εξέταση ή καλλιέργεια. |
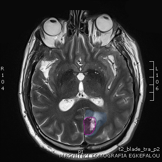
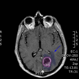
Όγκος εγκεφάλου με περιβάλλον οίδημα. |
Αντενδείξεις και επιπλοκές
Η στερεοτακτική βιοψία δεν ενδείκνυται σε ασθενείς με διαταραχές της πηκτικότητας του αίματος, ιατρογενείς και μη, σε ασθενείς με υποψία ιδιαίτερα αγγειοβριθούς ή παθολογικής αγγειακής εξεργασίας του εγκεφάλου ή σε ενδοκοιλιακές βλάβες. Δεν είναι επίσης ιδιαίτερα κατάλληλη σε ορισμένους ασθενείς με μεγάλες και επιφανειακές βλάβες στους οποίους η λήψη βιοψίας μπορεί να γίνει και χωρίς στερεοτακτικό εντοπισμό. Γενικά, πρέπει να αξιολογούνται για κάθε ασθενή τα οφέλη μιας, έστω και ελάχιστα επεμβατικής, χειρουργικής παρέμβασης σε σχέση με τους δυνητικούς κινδύνους που συνεπάγεται, κάτι που ορίζεται σε μεγάλο βαθμό από την θέση, το μέγεθος και τα λοιπά απεικονιστικά χαρακτηριστικά της εξεργασίας. Η πιο σημαντική επιπλοκή της στερεοτακτικής βιοψίας του εγκεφάλου είναι η (κλινικά σημαντική) αιμορραγία η οποία συμβαίνει σε περίπου 1% των ασθενών. Η συνολική θνησιμότητα από αυτήν είναι περίπου 0,2%.
Έκβαση
Η στερεοτακτικές βιοψίες του εγκεφάλου έχουν εξαιρετικά ποσοστά επιτυχίας όσον αφορά στην επιτυχή λήψη βιοψίας (άνω του 98%). Ο χρόνος νοσηλείας σε ανεπίπλεκτες περιπτώσεις ασθενών είναι βραχύς, 1-2 ημέρες.

