![]() |
H πρόσθια αυχενική μικροχειρουργική δισκεκτομή είναι η επέμβαση κατά την οποία αφαιρείται ένας ή περισσότεροι εκφυλισμένοι αυχενικοί μεσοσπονδύλιοι δίσκοι οι οποίοι παρουσιάζουν δισκοκήλες, με αποτέλεσμα να προκαλείται αυχενοβραχιόνιο σύνδρομο ή αυχενική μυελοπάθεια. Η επέμβαση γίνεται από την πρόσθια επιφάνεια του αυχένα, με μια μικρή οριζόντια τομή δέρματος στις ρυτίδες του λαιμού. Μετά την αφαίρεση του δίσκου (ή των δίσκων) και την αποσυμπίεση των νευρικών στοιχείων, πραγματοποιείται πρόσθια αυχενική σπονδυλοδεσία ή αυχενική αρθροπλαστική ανάλογα με τις ανατομικές συνθήκες, πάντα από την ίδια τομή δέρματος. Η επέμβαση είναι ασφαλής και με εξαιρετικά ποσοστά επιτυχίας. |
Ενδείξεις
Η πρόσθια αυχενική μικροχειρουργική δισκεκτομή ενδείκνυται στους ασθενείς με μία ή περισσότερες κήλες μεσοσπονδυλίων δίσκων της αυχενικής μοίρας της σπονδυλικής στήλης οι οποίες προκαλούν έντονο και επίμονο αυχενοβραχιόνιο σύνδρομο και στους οποίους έχει αποτύχει η συντηρητική θεραπεία, και κυρίως στους ασθενείς που έχουν εγκαταστήσει νευρολογικά ελλείμματα από πίεση στα αυχενικά νεύρα ή τον νωτιαίο μυελό με αποτέλεσμα αδυναμία και υπαισθησία στα άνω άκρα ή/και αυχενική μυελοπάθεια.
|
Περιγραφή Η επέμβαση γίνεται υπό γενική αναισθησία με οριζόντια τομή λίγων εκατοστών στο δεξί συνήθως μέρος του λαιμού. Ο μεσοσπονδύλιος δίσκος ο οποίος πρόκειται να αφαιρεθεί εντοπίζεται με την βοήθεια ακτινοσκόπησης, και στην συνέχεια εξαιρείται σε τεμάχια, με την βοήθεια χειρουργικού μικροσκοπίου, έως τον σπονδυλικό σωλήνα. Αφαιρούνται επίσης και τυχόν συνυπάρχοντα οστεόφυτα τα οποία πιέζουν τον νωτιαίο μυελό ή τα αυχενικά νεύρα. Η δισκεκτομή ακολουθείται από σπονδυλοδεσία με κλωβό ή αρθροπλαστική με τεχνητό αυχενικό δίσκο. Αντενδείξεις και Επιπλοκές Ουσιαστικές αντενδείξεις της πρόσθιας αυχενικής δισκεκτομής δεν υπάρχουν. Οι πιο συνήθεις επιπλοκές είναι η μετεγχειρητική δυσφαγία και δυσφωνία από την διεγχειρητική παρεκτόπιση και πίεση του οισοφάγου και του παλίνδρομου λαρυγγικού νεύρου, οι οποίες είναι κατά κανόνα προσωρινές. Επιδείνωση του νευρολογικού ελλείμματος, ειδικά στους ασθενείς με αυχενική μυελοπάθεια, μπορεί να παρατηρηθεί σε μικρό ποσοστό, αλλά είναι και αυτή στην πλειοψηφία των περιπτώσεων προσωρινή. Αστοχία του συστήματος σπονδυλοδεσίας (μετατόπιση υλικών) συμβαίνει σε ποσοστό 0,5%. |
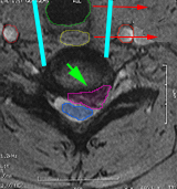
Πρόσθια αυχενική μικροχειρουργική δισκεκτομή σε ασθενή με αυχενική δισκοκήλη. Η τραχεία (πράσινο), ο οισοφάγος (κίτρινο) παρεκτοπίζονται αριστερά (κόκκινα βέλη) και για να δημιουργηθεί το κανάλι προσπέλασης στον δίσκο (κυανές γραμμές). Ο δίσκος αφαιρείται και κατόπιν εξαιρείται και η δισκοκήλη(μωβ). Οι καρωτίδες είναι οι δύο κόκκινοι κύκλοι εκατέρωθεν της προσπέλασης.
|
|
|
|
![]() |
Έκβαση Η έκβαση της πρόσθιας αυχενικής μικροχειρουργικής δισκεκτομής είναι εξαιρετική, με πολύ υψηλά ποσοστά επιτυχίας στην ανάταξη των συμπτωμάτων ειδικά στους ασθενείς με αυχενοβραχιόνιο σύνδρομο. Στους ασθενείς με αυχενική μυελοπάθεια ο βαθμός της ανάταξης του νευρολογικού ελλείμματος εξαρτάται από πολλούς παράγοντες, κυριότερος εκ’ των οποίων είναι η διάρκεια των συμπτωμάτων πριν το χειρουργείο. |
|
Αυχενικές δισκεκτομές με αρθροπλαστική (αριστερά), σπονδυλοδεσία με κλωβό (μέσο), σπονδυλοδεσία με κλωβούς πλάκα και βίδες. |
|||



